Gary Brandner
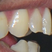
Gary, had worn his upper and lower incisors over the years resulting in unevenness to the upper incisal edge and premature attrition. This was a result of friction due to insufficient room during chewing that put his incisal edges in harms way. By conservatively restoring these teeth with veneers and placing the incisal edge in a manner that allowed for more chewing room we were able to re-establish his incisal plane resulting in restorations that look great and will stand up over time.





